25.08.2021 Orthopädie/Unfallchirurgie
Verletzungen der Kreuzbänder im Kindesalter

Aufgrund der höheren Stabilität der Bänder im Vergleich zu den osteochondralen Strukturen sind isolierte Bandverletzungen beim Kind selten. So kommt es bei weit offenen Wachstumsfugen eher zu Fugenverletzungen bzw. knöchernen Bandausrissen als zu intraligamentäre Bandrupturen [1].
Jüngere Patienten unter 12 Jahren erleiden eher einen knöchernen Ausriss des vorderen Kreuzbandes (Eminentia-intercondylaris-Ausrisse nach Meyers und McKeever), Kinder ab 12 Jahren erleiden eher eine intraligamentäre vordere Kreuzbandruptur (VKB- Ruptur). Gleichwohl werden immer öfter auch intraligamentäre Verletzungen bei jüngeren Kindern diagnostiziert, was zu sekundären Meniskusschäden bei anhaltender Instabilität führen kann.
Eminentia-intercondylaris-Ausrissverletzungen
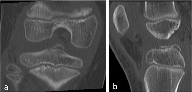
Der osteochondrale Eminentia-intercondylaris-Ausriss mit dem tibialen Ansatz des vorderen Kreuzbandes liegt intraartikulär, epiphysär und betrifft nicht die Epiphysenfuge selbst. Er zählt zu den häufigsten epiphysären Frakturen der proximalen Tibia. Diagnostiziert wird ein Eminentia-intercondylaris-Ausriss mittels Röntgendiagnostik in zwei Ebenen, wobei man das Hochstehen des osteochondralen Fragmentes beurteilen kann (Abb. 1). Während der undislozierte Meyers und McKeever Typ I konservativ in Streckstellung für 6 Wochen behandelt werden kann, müssen die dislozierten Ausrissverletzungen (Typ 2–4) arthroskopisch oder minimal-offen reponiert und mittels Schraube, Ausziehnaht oder Draht refixiert und mittels Orthese nachbehandelt werden [2]. Das Therapieziel besteht in einer Wiederherstellung der Bandstabilität, sowie der Vermeidung von Meniskus- oder Knorpelläsionen als Spätschäden [3]. Eine Sportfähigkeit besteht bei freier Funktion und symmetrischen Muskelverhältnissen nach etwa 12 Wochen [4]. Bis zum Wachstumsabschluss sollten Nachkontrollen der Kniebandstabilität durchgeführt werden, um eine dauerhafte Bandinstabilität oder eine sekundäre VKB- Insuffizienz im Langzeitverlauf auszuschließen.

Abb. 1: 8-jähriges Mädchen, Z.n. Auto gegen Fahrrad, CT des rechten Kniegelenks mit einem Eminentia intercondylaris-Ausriss, Meyers und McKeever Typ 2, a) ap, b) seitlich
Intraligamentäre vordere Kreuzbandrupturen (VKB-Ruptur)
Mit fortschreitendem Alter nimmt die allgemeine Hyperlaxizität der Kapsel-Band-Strukturen ab und die Stabilität der knöchernen Strukturen (Apophysen) zu, damit steigt die Inzidenz der intraligamentären Bandrupturen. Insgesamt ist, aufgrund der zunehmenden sportlichen Aktivität, teilweise auch aufgrund ungenügenden Trainings sowie der erhöhten Risikobereitschaft gegenüber aggressiver Sportarten, immer häufiger eine intraligamentäre Bandverletzung vor allem des VKBs auch schon vereinzelt bei Kindern unter 10 Jahren zu beobachten.
Bei weit offenen Wachstumsfugen ist die klinische Diagnose von Bandläsionen erschwert, da eine individuell unterschiedliche Aufklappbarkeit besteht. Hier sollte immer der Seitenvergleich der beiden Kniegelenke genutzt werden. Ein Hämarthros weist auf einen Kniebinnenschaden hin und stellt bei jedem Kind mit einer Verletzungsanamnese eine Indikation für ein MRT dar. Bei Mädchen steht die Patellaluxation im Vordergrund, dabei ist das Hämarthros durch Kapsel- oder Retinakulumeinrisse und MPFL Rupturen bedingt. Bei Jungen führt vor allem die Ruptur des vorderen Kreuzbandes oder eine traumatische Meniskusverletzung zu einem Hämarthros. Durch eine exakte klinische Untersuchung und ein MRT kann die Diagnose in den meisten Fällen ohne eine rein diagnostische Arthroskopie gestellt werden.
Diese zunehmenden Diagnosen bezüglich der Kniebinnenschäden werden auch aufgrund der verbesserten Diagnostik insbesondere durch das MRT vermehrt diagnostiziert. Dass dies jedoch sinnvoll ist zeigt, dass in 50% der VKB-Rissen Begleitverletzungen vorliegen, die mitbehandelt werden müssen. Bei einem massivem Hämarthros, bei osteochondralen Fragmenten, Kreuzbandverletzungen oder Meniskusverletzungen ist, wie bei der Patellaluxation, in der Regel eine arthroskopische Operation erforderlich.
Die Therapie der isolierten Kreuzbandverletzung wurde lange Jahre diskutiert. Es wird heutzutage aufgrund der bekannten hohen Rate an Meniskusläsionen nach Kreuzbandläsionen bei Kindern (circa 50 % nach einem Jahr) eine zeitnahe Rekonstruktion empfohlen. In der aktuellen Literatur wird bei allen kompletten Rupturen des vorderen Kreuzbandes mit Knieinstabilität (Giving Way Zeichen) ein operativer Ersatz empfohlen um instabilitätsbedingte Meniskus- und Knorpelläsionen und damit der Gefahr der Früharthrose zu verhindern. Zudem konnten bisher keine relevanten Wachstumsstörungen aufgrund der Durchbohrung der Wachstumsfugen nachgewiesen werden unter der Voraussetzung einer Kind-adaptierten, schonenden Operationstechnik und Sehnenersatzplastik. Hierunter verstehen die Autoren eine Kreuzbandersatzplastik mittels Semitendinosussehne und einem steilen Bohrkanal, da es hierdurch zu einer flächenmäßig geringeren Beeinträchtigung der Fuge in Bezug auf die Fläche der Gesamtfuge kommt. Es erscheint eine Einzelbandplastik mittels Semitendinosussehne ausreichend und Bohrkanal und Sehne sollten den gleichen Durchmesser haben. Eine Fixation außerhalb der Fuge mittels Metallplättchen oder kurzen bioresorbierbaren Schrauben wird empfohlen [5–7] (Abb. 2).

Abb. 2: 15-jähriger Junge mit Z.n. Kniegelenkstrauma beim Fußball im Zweikampf, MRT mit a) intraligamentäre VKB- Ruptur (weiße Pfeile) und deutlichem intraartikulärem Erguss, operatives Vorgehen b) postoperative VKB Plastik mit bioresorbierbarer Schraube tibial (fugenübergreifend bei fast geschlossenen Wachstumsfugen)
Als Nachbehandlungsschema ist bei isolierten VKB Ersatzoperationen eine Orthese ohne Bewegungslimit unter Teilbelastung für 4–6 Wochen zu empfehlen. Eine Aufbelastung ist dann bei reizfreiem Kniegelenk möglich. Zusätzlich empfehlen wir die physiotherapeutische, schmerzabhängige Mobilisation und den Muskelaufbau vor allem des M. quadriceps. Eine Sportfähigkeit besteht bei freier Funktion und symmetrische Muskelverhältnisse, jedoch bei Ball- und Kontaktsportarten erst nach etwa 12 Monaten [4]. Nachkontrollen sollten postoperativ wöchentlich bis zur freien Funktion erfolgen und ein Abschluss bei Beschwerdefreiheit nach etwa 1,5 Jahren sowie eine Kontrolle bei Wachstumsabschluss.
Die Ergebnisse nach Kreuzbandersatzplastik sind insgesamt als gut zu beurteilen. Allerdings ist die Zahl der Kinder, die jünger als 12 Jahre sind, in den meisten Studien gering.
Bei Kindern mit noch weit offenen Wachstumsfugen (<12. Lj.) wird von einzelnen Autoren noch die intraligamentäre Naht und Augmentation des vorderen Kreuzbandes empfohlen. Dies stellt den Versuch dar, durch Narbenbildung wieder ein stabiles Band zu erhalten. Die Ergebnisse variieren je nach Studie, scheinen aber insgesamt eher unbefriedigend zu sein. Eine sichere Ausheilung und Stabilität ist in diesen Fällen nur gewährleistet, wenn eine gute transossäre Refixation mit Augmentation bei ansatznaher femoraler Verletzung möglich ist. Ansonsten sollte ein Kreuzbandersatz erfolgen.
Das Ziel bei den intraligamentären Verletzungen ist eine Bandstabilität zur Vermeidung der Langzeitfolgen zu erzielen. Zu den Langzeitfolgen werden Meniskusläsion und Knorpelschäden gezählt, sowie das permanente Instabilitätsgefühl mit Vermeidungsverhalten bei sportlichen Aktivitäten. Wenn auch selten, muss gerade bei jungen Kindern mit Knieschmerzen ohne adäquates Trauma und bestehender Instabilität an eine wachstumsbedingte Fehlentwicklung, wie zum Beispiel eine Aplasie der Eminentia mit Fehlen des vorderen Kreuzbandes oder auch an ein M. Osgood Schlatter, gedacht werden.
Intraligamentäre und knöcherne hintere Kreuzbandrupturen (HKB-Ruptur)
Verletzungen des hinteren Kreuzbandes sind sehr selten und werden vor allem bei Knie(sub-)luxationen gefunden. Klinische Stabilitätsprüfung und MRT führen meist zur Diagnose. Die Ergebnisse der konservativ behandelten Rupturen des hinteren Kreuzbandes sind insgesamt gut, wobei aber auf eine konsequente vordere Schubladenposition durch entsprechende Gipsruhigstellung und Orthesen geachtet werden muss (Abb. 3). Krankengymnastik und Schienenanlage muss immer in Bauchlage erfolgen, um eine hintere Schubladenposition zu verhindern. Hier haben die intraligamentären Abrisse distal etwas bessere Heilungstendenzen als die intraligamentär proximalen Abrisse (Abb. 4).

Abb 3: 12-jähriger Junge mit Z. n. Kniegelenkstrauma beim Fahrradsturz, MRT mit Teilruptur des HKBs mit wenigen stehenden Fasern (weiße Pfeile)

Abb 4: 5-jähriger Junge, dem ein anderes Kind auf das gestreckte Knie gesprungen ist, MRT mit proximal dislozierter Komplettruptur des HKBs (rote Pfeile), operatives Vorgehen
Eine Refixation des hinteren Kreuzbandes bei knöchernem Ausriss an der dorsalen Tibiaansatzstelle sollte über einen offenen Zugang bei Fragmentdislokation erwogen werden, um eine sichere Verankerung zu erreichen. Dies kann nach unserer Erfahrung gut über einen minimalinvasiven dorsalen Zugang erfolgen. Bei vollständiger Zerreißung mit Dehiszenz im Bandbereich ist auch eine Rekonstruktion mit Semitendinosusehne frühzeitig sinnvoll um die Stabilität wiederherzustellen. Diese anspruchsvolle Operation wird zum Teil arthroskopisch zur femoralen Fixation und mit einem zusätzlichen medio-dorsalen Zugang durchgeführt um dem Fugenverlauf gerecht zu werden. Dieses Verfahren empfiehlt sich bei einer persistierenden dorsalen Instabilität nach intraligamentärer Verletzung und erfolgloser konservativer Therapie.
Abschließend gibt die Tabelle 1 das empfohlene Vorgehen bei Kniegelenksverletzungen mit Hämarthros wieder [8].
Tabelle 1: Vorgehen beim Gelenkerguss/Hämarthros des Kniegelenkes nach Verletzungen:
|
☑ |
Röntgen Kniegelenk in zwei Ebenen: •Epiphysenlösung femoral, tibial •Eminentia-Ausrisse der Tibiaepiphyse •Mediale oder laterale Kollateralbandausrisse •Sleeve-Frakturen der Patella oder Tuberositas tibia Ausrisse |
|
☑ |
Ruhigstellung des Kniegelenks in Orthese; bei Eminentia intercondylaris oder Tuberositats Tibia oder Pateallarsehnenausrissen in Extension |
|
☑ |
MRT: zum Ausschluss einer Kniebinnenverletzung, i.d.R. ohne Kontrastmittel bei Kontrast durch Gelenkerguß (Kreuzbänder, Menisken, osteochondrale Flakes, Patellaluxation mit MPFL-Läsion, Lig. Patella, Sleeve Verletzungen) |
|
☑ |
Punktion des Ergusses: ausnahmeweise zur Entlastung bei starken Schmerzen |
|
☑ |
ASK: bei massivem Hämarthros, Einklemmungszeichen, Instabilitäten, radiologischen Fragmenten im Gelenk, Patellafrakturen und -luxationen mit Bandläsionen und bei im Röntgen oder MRT feststellbaren operationsbedürftigen Befunden |
Literatur
[1] Askenberger, M., Ekstrom, W., Finnbogason, T. et al. 2014. Occult Intra-articular Knee Injuries in Children With Hemarthrosis. Am J Sports Med 42, 7, 1600–1606.
[2] Leeberg V, Lekdorf J, Wong C, Sonne-Holm S. 2014 Tibial eminentia avulsion fracture in children – a systematic review of the current literature. Dan Med J. 2014 Mar;61(3):A4792. PMID: 24814913
[3] Frosch, K.-H., Stengel, D., Brodhun, T. et al. 2010. Outcomes and risks of operative treatment of rupture of the anterior cruciate ligament in children and adolescents. Arthroscopy 26, 11, 1539–1550.
[4] Ohsawa T, Kimura M, Chikuda H. 2021 Patient-reported evaluation on giving way is important for return to preinjury activity level after Anterior Cruciate Ligament reconstruction. Knee Surg Sports Traumatol Arthrosc. 2021 Apr;29(4):1128–1136. doi: 10.1007/s00167-020-06111-4. Epub 2020 Jun 27. PMID: 32594330
[5] Fabricant, P. D., Jones, K. J., Delos, D. et al. 2013. Reconstruction of the anterior cruciate ligament in the skeletally immature athlete: a review of current concepts: AAOS exhibit selection. J Bone Joint Surg Am 95, 5, e28.
[6] Kumar, S., Ahearne, D., and Hunt, D. M. 2013. Transphyseal anterior cruciate ligament reconstruction in the skeletally immature: follow-up to a minimum of sixteen years of age. J Bone Joint Surg Am 95, 1, e1.
[7] Krause M, Freudenthaler F, Frosch KH, Achtnich A, Petersen W, Akoto R. 2018 Operative Versus Conservative Treatment of Anterior Cruciate Ligament Rupture. Dtsch Arztebl Int. 2018 Dec 24;115(51–52):855–862. doi: 10.3238/arztebl.2018.0855. PMID: 30765021
[8] Marzi I. Kindertraumatologie. 3. Auf. Heidelberg: Springer; 2016.
Janko M, Frank J, Marzi I. Verletzungen der Kreuzbänder im Kindesalter. Passion Chirurgie. 2021 September; 11(9): Artikel 03_01.
Autor:innen des Artikels
Weitere aktuelle Artikel
15.09.2025 BDC|News
PASSION CHIRURGIE 09/III/2025: Notfallversorgung
„Notfallversorgung“ ist das Thema der Septemberausgabe, die Sie in den nächsten Tagen auch als gedruckte Version erhalten. In dieser Ausgabe informieren wir Sie über aktuelle Entwicklungen in der Unfallchirurgie – von neuen Ansätzen in Diagnostik und Behandlung bis hin zu Themen rund um das D-Arzt-Wesen und Personalfragen.
01.09.2025 BDC|News
Editorial 09/QIII/2025: Trauma, Trauma, Trauma
Die Unfallchirurgie ist ein Fach, das eigentlich niemals stillsteht. Das gilt für den Arbeitsalltag, unsere Versorgungen, im Behandlungsergebnis meist auch für unsere Patientinnen und Patienten und letztlich auch für alles „Drum Herum“.
01.09.2025 Orthopädie/Unfallchirurgie
Sternum- und Rippenfrakturen: Wo kommen wir her? Wo stehen wir heute? Wo wollen wir hin?
In der heutigen Zeit ist werden schwere Thoraxtraumata für etwa 25 % der Todesfälle bei Unfallverletzten verantwortlich gemacht, etwa jeder zweite Schwerverletzte erleidet Rippen- und/oder Sternumfrakturen [1].
01.09.2025 Orthopädie/Unfallchirurgie
Die strahlenfreie Frakturdiagnostik im Kindes- und Jugendalter wird Bestandteil der Regelversorgung
Ultraschall als sichere, schnelle, strahlenfreie und gesundheitsökonomisch relevante „Point-of-Care-Diagnostik“ ist zur Diagnostik von Frakturen langer Röhrenknochen bis zum 18. Lebensjahr bereits seit August 2024 mit den gesetzlichen Unfallversicherungen besser abrechenbar als das Röntgen.
Lesen Sie PASSION CHIRURGIE!
Die Monatsausgaben der Mitgliederzeitschrift können Sie als eMagazin online lesen.

